
新闻动态
联系我们
陕西依科生物技术服务有限公司首页 > 实验问题解答 > 特殊染色丨新疆AB-PAS染色
陕西依科生物技术服务有限公司主要展示{新疆抗体},{新疆单克隆抗体},{新疆多克隆抗体}等方面的相关信息以及资讯发布,欢迎您关注我站!
简 介:
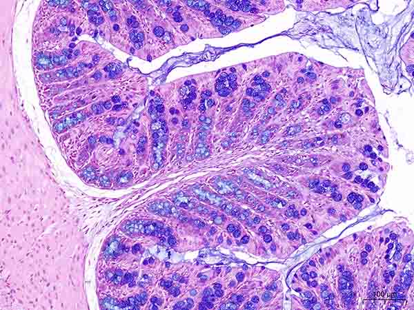
某些细胞如胃肠的杯状细胞能分泌粘稠的分泌物,含有大量的糖称粘多糖。中性粘液物质含有氨基己糖和游离的己糖基,酸性粘液物质也含有氨基己糖并含有各种酸根。此方法先染阿利新蓝染酸性粘液物质为蓝色,并阻断酸性粘液物质的羧酸分子中的乙二醇被高碘酸氧化生产二醛而着红色。只有中性粘液物质的乙二醇基被高碘酸生成二醛后与雪夫试剂中的无色品红作用生成红紫色复合物。
新疆AB-PAS染色实验步骤:
1.新疆石蜡切片脱蜡至水:依次将切片放入二甲苯Ⅰ8min-二甲苯Ⅱ8min-无水乙醇Ⅰ 6min-无水乙醇Ⅱ6min-95%酒精 6min-85%酒精 6min-75%酒精 5min-流水冲洗;
2.新疆阿利新蓝染色液染10-20min;
3.蒸馏水水洗3次,1-2min/次;
4.加过碘酸溶液氧化5min,蒸馏水水洗3次,1-2min/次
5.滴加雪夫试剂室温20min,镜下观察着色情况;
6.倾去雪夫试剂,流水冲洗10min;
7.苏木素染细胞核5min,自来水冲洗;
8.酸性分化液分化,自来水冲洗返蓝;
9.无水乙醇脱水,二甲苯透明;
10.中性树脂封片。
染色结果判读:糖原、中性粘液物质呈红色,酸性粘液物质呈蓝色,混合性粘液物质呈蓝紫色,细胞核呈蓝色。
注意事项:
1.脱蜡一定要彻底,否则影响实验结果;
2.氧化剂氧化时间不宜过久,氧化时的温度18-20℃最佳;
3.酸性分化液应该经常换,分化时间根据切片的薄厚、液体的新旧而决定,另外分化后的自来水冲洗时间要足够;
4.苏木素染核要淡,以免影响阳性结果的观察。
结果展示:

{陕西依科生物技术服务有限公司}口碑怎么样?{新疆单克隆抗体}哪里好?{新疆多克隆抗体}找哪家?陕西依科生物技术服务有限公司专业从事{生物科研试剂的研发、销售及相关技术服务}