
产品中心
联系我们
陕西依科生物技术服务有限公司陕西依科生物提供各项病理染色服务,其中新疆阿利新蓝染色也是比较常见的一种染色法。
染色机制:阿利新蓝属于阳离子染料,是显示酸性黏液物质最特异的染料,染料与酸性基团形成盐键,利用染料的不同pH及不同电解质浓度,可区分酸性黏液物质的类别。
染色应用:可用于软骨细胞的鉴定,软骨组织的内酸性粘多糖的定量分析。
一、阿利新蓝染色详情介绍:阿利辛蓝(Alcian)又称爱先蓝或阿尔辛蓝等,是一种类铜钛花青共轭染料,这种阳离子染料与酸性基团结合,即阿尔辛蓝与组织内含有的阴离子基团如羧基和硫酸根形成不溶性复合物。阿利辛蓝由中央含铜的酞菁环与四个异硫脲基通过硫醚键相连而成。该异硫脲基呈中度碱性,使阿利辛蓝带阳离子。利用染液的不同pH值可区分粘液物质的类属,pH 值为2.5时组织内的羧基电离,带有一个负电荷,与阿利辛蓝中的阳离子形成盐键,是带有羧基的组织(如蛋白多糖/透明质酸以及上皮酸性黏蛋白)染色。pH值为1.0时,组织内的硫酸根电离,带有一个负电荷,与阿利辛蓝中的阳离子形成盐键,使带有硫酸根的组织(如硫酸黏液物质)染色。中性黏蛋白(如胃黏膜和Brunner腺体部位的中性黏蛋白)不能与阿利辛蓝反应。
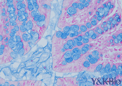
二、阿利新蓝染色图片展示
肠组织阿利新蓝染色

三、实验流程:
1. 新疆石蜡切片脱蜡至水:依次将切片放入二甲苯Ⅰ8min-二甲苯Ⅱ8min-无水乙醇Ⅰ 6min-无水乙醇Ⅱ6min-95%酒精 6min-85%酒精 6min-75%酒精 5min-流水冲洗;
2. 滴加Alcian酸化液浸泡10min;
3. 甩去酸化液,滴加Alcian染液15-30min;
4. 自来水水洗至切片无残留染液;
5. 滴加核固红染液10-30min;
6. 自来水水洗1min;
7. 95%酒精分化;
8. 无水乙醇脱水,二甲苯透明;
9. 新疆中性树胶封片。
四、结果判读: 酸性黏蛋白(硫酸黏蛋白和唾液黏蛋白)为蓝色,蛋白多糖和透明质酸为蓝色,细胞核为红色。