
产品中心
联系我们
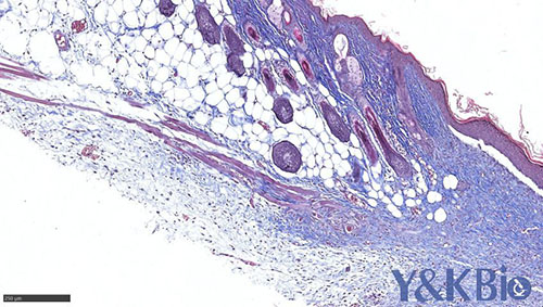
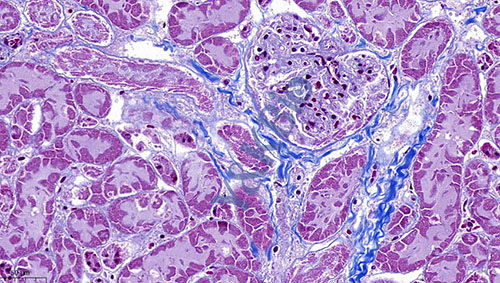
陕西依科生物技术服务有限公司首页 > 普通病理学服务 > 新疆Masson染色


新疆Masson染色是病理染色服务中比较常见的一种,Masson染色用于胶原纤维和肌纤维的染色及鉴定;染色结果:胶原纤维呈蓝色、肌纤维呈红色、细胞核呈蓝黑色。
Masson染色注意事项:
1.Masson氏染液配完后保存时间不宜过长,如有可能,每次染色以染配为佳,如何可使着色颜色的鲜艳性。
2.切片在各级酒精中脱水,时间不宜过长,否则会将着染的颜色脱去。
3.切片保存所着染的颜色显长为1-2年以后会随着时间的延长而逐渐褪去,应予注意。
4.磷钼酸和磷钨酸在染色法中的作用各有不同,磷钼酸作用于胶原纤维,磷钨酸作用于纤维胶质,肌胶质,神经胶质和上皮纤维等。上述两种试剂的使用,可以促进组织有选择的染色,它们可以减少背景和核的染色,使背景清晰。
5.如有可能,在组织固定时,用Zenker氏固定液固定,如此对Masson染色效果将更好。