
新闻动态
联系我们
陕西依科生物技术服务有限公司首页 > 试验技术指导 > 常见的新疆组织纤维染色
陕西依科生物技术服务有限公司主要展示{新疆抗体},{新疆单克隆抗体},{新疆多克隆抗体}等方面的相关信息以及资讯发布,欢迎您关注我站!
常见的组织纤维染色
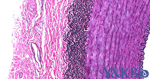
一、MASSON染色
适用于所有动物组织, 常用于胶原纤维染色
染色结果: 胶原纤维呈蓝色,肌纤维、和红细胞呈红色。

二、新疆天狼猩红染色
适用于所有动物组织 胶原纤维(常用)
染色结果:在普通光显微镜下胶原纤维呈红色,其他被染成黄色;在偏振光显微镜下,Ⅰ型胶原纤维呈强橙黄色或亮红色,Ⅲ型胶原纤维呈绿色。

三、VG染色(Van Gieson)
适用于所有动物组织 胶原纤维(不常用)
染色结果:胶原纤维红色,肌纤维和红细胞黄色

四、EVG染色
适用于血管、皮肤、肺 新疆石蜡切片 ,观察弹力纤维、胶原纤维
染色结果: 弹力纤维呈紫黑色,胶原纤维呈红色,其它呈黄色

五、Weigert间苯二酚碱性品红染色
适用于所有动物组织石蜡切片, 弹力纤维(对较细的弹力纤维尤其适用)
染色结果: 弹力纤维紫红色,胶原纤维红色,背景其他成分黄色

六、movat五色法
适用于血管、心脏、石蜡切片, 同时观察弹力纤维,胶原纤维,蛋白聚糖
染色结果:蛋白聚糖蓝色,肌纤维浅红色,纤维素深红色,弹力纤维和细胞核紫黑色,胶原蛋白和网状纤维黄色

适用于各种组织,石蜡切片,观察弹力纤维
染色结果:弹力纤维呈蓝色,细胞核呈红色

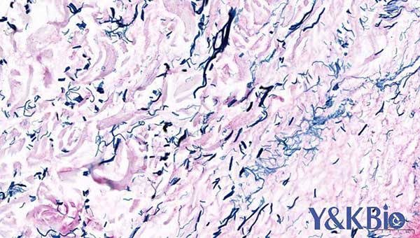
八、网状纤维染色
适用于肿瘤,淋巴,肝脏, 石蜡切片 ,观察网状纤维
染色结果: 网状纤维黑色,背景棕黄色(镜下显示网状纤维呈黑色网状纤维的形态和分布,断裂或崩解等的组织改变在病理诊断上有重要意义,特别是对协助肿瘤诊断和鉴别诊断有较大的帮助)

{陕西依科生物技术服务有限公司}口碑怎么样?{新疆单克隆抗体}哪里好?{新疆多克隆抗体}找哪家?陕西依科生物技术服务有限公司专业从事{生物科研试剂的研发、销售及相关技术服务}