
新闻动态
联系我们
陕西依科生物技术服务有限公司陕西依科生物技术服务有限公司主要展示{新疆抗体},{新疆单克隆抗体},{新疆多克隆抗体}等方面的相关信息以及资讯发布,欢迎您关注我站!
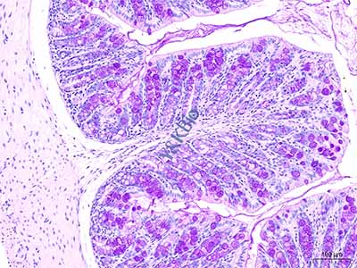
糖原是动物组织内唯一的天然多糖,广泛分布在体内各种细胞中,尤以肝脏最为丰富,对维持细胞恒定及其他生理功能有重要关系。PAS反应是显示组织、细胞内糖类物质的经典方法,PAS技术的关键是糖原被过碘酸氧化释放出醛基时,是否有足够的醛基与碱性品红发生反应。而传统切片染PAS反应显示糖原步骤繁琐,且小分子颗粒的糖原很容易在制片过程中丢失,给观察、定位、定量分析带来困难。整块染色方法具有步骤少、操作简便、反应稳定、定位清楚等特点,能减少染的切片中因固定液渗透使糖原偏居于细胞一侧的现象,而且此方法利于教学和科研大量制片和病理临床诊断。
在PAS整块染色法操作过程中一般采用固定与氧化同时进行,该方法的染色效果仍不太理想。原因是仍采用固定与氧化同时处理的方法,PAS阳性反应较弱,阳性颗粒边缘深,中间浅,颗粒分布不均匀。为解决这一问题,采用了将固定与氧化步骤分开进行的方法,结果显示PAS反应效果更好,糖原颗粒清晰,染色均匀,细胞形态结构清楚,胞核无色。此法中还发现,过碘酸氧化的时间对结果也有重要的影响,氧化时间过长,可引起非特异性反应(人工假象)。组织块整块氧化时间以24小时为佳,阳性反应强,背景淡。此外,组织块经Schiff剂染色后,一定要进行充分流水冲洗,置换组织内的Schiff剂,阻断Schiff剂与细胞内的糖原继续反应,流水冲洗至少24小时。
糖原(PAS)染色实验步骤
1.新疆石蜡切片脱蜡至水:依次将切片放入二甲苯Ⅰ8min-二甲苯Ⅱ8min-无水乙醇Ⅰ 6min-无水乙醇Ⅱ6min-95%酒精 6min-85%酒精 6min-75%酒精 5min-流水冲洗;
2.滴加过碘酸氧化10min;
3.自来水冲洗1次,再用蒸馏水冲洗2次;
4.滴加雪夫试剂10-20min,镜下观察;
5.流水冲洗10min;
6.苏木素染核5min,流水冲洗;
7.分化液分化,流水冲洗返蓝;
8.无水乙醇脱水,二甲苯透明;
9.新疆中性树胶封片。

{陕西依科生物技术服务有限公司}口碑怎么样?{新疆单克隆抗体}哪里好?{新疆多克隆抗体}找哪家?陕西依科生物技术服务有限公司专业从事{生物科研试剂的研发、销售及相关技术服务}